VÔI RĂNG LÀ GÌ? CÓ NÊN CẠO VÔI RĂNG HAY KHÔNG? CẠO VÔI RĂNG NHIỀU CÓ TỐT HAY KHÔNG?
Nhiều khách hàng đến phòng nha (có hoặc không có nhu cầu) lấy vôi răng, nhưng đều hỏi những câu hỏi này. Xin tóm tắt nôm na một ít kiến thức để mọi người hiểu về vôi răng, tác hại và cách xử trí như sau.
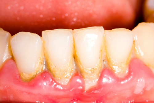
1. Vôi răng là một dạng vật chất ngoại lai, hình thành từ thức ăn bám đọng chưa được làm sạch trên răng bị vôi hoá, do khoáng chất có trong nước bọt. Vôi răng là nơi sống của vi khuẩn gây viêm nướu, viêm nha chu.
2. Do ngoại lai (không phải là men răng như nhiều người đồn thổi) nên cứ thoải mái đi lấy khi thấy xuất hiện.

3. Nếu không lấy ? Nướu và mô nha chu bị viêm nhiễm, sẽ dẫn đến những hậu quả không tốt về cả thẩm mỹ lẫn chức năng ăn nhai, hoặc mất răng sớm.
4. Lấy vôi răng đúng cách thì tốt, không đúng cách có thể để lại sang chấn về nướu răng, một vài trường hợp răng sẽ trở nên nhạy cảm trong một thời gian.
5. Có khách bảo lấy về thì thấy chảy máu răng nhiều hơn, răng nhạy cảm hơn, lộ tam giác nướu hay lộ kẽ răng? Không đúng, mà cũng có trường hợp đúng!
- Không đúng nếu lấy vôi về chảy máu răng nhiều hơn! Vì lấy vôi răng vào thời điểm quá nhiều, vôi răng đó đã gây viêm nhiễm nướu răng. Cần xác định, lấy vôi chỉ có tác dụng giải quyết nguyên nhân gây viêm, nướu viêm vẫn ở đó, có sẵn do vôi răng từ trước. Việc chảy máu là gần như hiển nhiên. Nhưng mọi người không nên vì vậy mà ngừng hay giảm vệ sinh răng miệng. Vì lại rơi vào vòng tròn : vệ sinh kém —> bám thức ăn —> viêm nướu —> chảy máu —> sợ, lại vệ sinh kém. Vậy nên cứ vệ sinh bình thường, sau 2-3 ngày nướu hết viêm sẽ tự ngưng chảy máu.
- Không đúng nếu nói răng nhạy cảm do lấy vôi! Vôi răng làm viêm nha chu, tiêu xương, tụt nướu. Phần răng nhạy cảm lộ ra bị nướu sưng và vôi răng che khuất nên trước khi lấy vôi không nhìn thấy. Sau khi lấy vôi, nướu hết sưng, lộ phần nhạy cảm ra nên có thể sẽ không thoải mái trong một thời gian. Có thể dùng kem chống ê (loại có chức năng che ống ngà bị lộ) để giải quyết. Còn nếu không lấy vôi? Nha chu viêm tiến triển nặng hơn! Bạn muốn răng nhạy cảm trong một thời gian, nhưng sau đó sẽ lành mạnh hay muốn không lấy vôi, rồi sau đó mất răng sớm do nhiễm khuẩn?
- Không đúng nếu nói do lấy vôi làm răng có vẻ dài ra hay lộ tam giác nướu! Như đã nói ở trên, vấn đề này đã có khi có vôi răng, chỉ là vôi răng làm nướu sưng, nên tạm thời không nhìn thấy vấn đề. Lấy vôi đi, nướu răng co về vị trí bình thường, không lấp đầy khe nướu sẽ thấy lộ tam giác nướu hay cảm giác thưa kẽ hoặc nướu co lại, lại làm răng có cảm giác dài ra.
- Những vấn đề này sẽ đúng khi lấy vôi không đúng cách, thô bạo trong thao tác, gây tổn thương nướu răng. (Tất nhiên hầu hết là sẽ có phục hồi do tổn thương do làm không đúng, chứ không phải không phục hồi do viêm nhiễm từ vôi răng, nhưng hẳn là không ai mong muốn người khác làm sai trên miệng của mình)
6. Súc miệng mạnh hoặc dùng thuốc trôi nổi trên thị trường có